乙肝后肝硬化合并肝恶性肿瘤肝移植后新发肾病综合征1例
上海交通大学医学院附属仁济医院
金海姣 钱永兵 徐垚 张江 邵兴华 牟姗 张建军 王琴
摘要
病史摘要 患者,男性,66岁。2015年1月因“乙肝后肝硬化、肝癌”于我院行经典原位肝移植术当,术后予米芙、他克莫司。2019年2月因“肺转移”加用仑伐替尼。2022年6月发现尿泡沫增多、双下肢水肿。
症状体征 尿泡沫增多,双下肢中度水肿。
诊断方法 入院后完善相关检查,排除禁忌后行肾穿刺活检术,病理示肾小球微血管病变(考虑可能和仑伐替尼相关)合并糖尿病肾病及肾小动脉硬化。
治疗方法 停用仑伐替尼,强化降压、降糖等综合治疗。
临床转归 好转。
适合阅读人群 肾脏科,肝脏外科
关键词 肾病综合征;肝移植;肝恶性肿瘤;仑伐替尼
引 言
近年来,肝移植患者合并肾损伤的诊断和治疗受到日益广泛的关注。肝移植合并肾损伤的发病率高,肝移植后1年、3年、5年慢性肾脏病(chronic kidney disease, CKD)的发病率分别为8.0%、13.9%和18.1%[1]。既往观点认为,肝移植患者发生肾脏损害主要由于肝移植患者长期使用以钙调磷酸酶抑制剂(calcineurin inhibitor, CNI)为主的免疫抑制剂所致[2]。然而,近年有部分研究对肝移植合并肾损伤患者进行肾穿刺活检,结果提示肝移植合并肾损伤患者行肾活检的病理学结果有很大异质性,大多数活检显示有复杂的肾脏病变,且CNI相关肾病并非主要原因[3-11]。中国大陆地区目前尚未有相关研究报道。
临床资料
一、一般资料
患者男,66岁,2015年1月因“乙肝后肝硬化、肝癌”于我院行经典原位肝移植术,当时肌酐57umol/L, 血清白蛋白36g/L,尿蛋白 100mg/dl,尿红细胞 35.3/HP, 尿白细胞 28/HP,术后予米芙540mgBID+他克莫司(3mgBID)+泼尼松 10mg抗排异,恩替卡韦抗病毒复制,后他克莫司维持剂量调整为早1mg,晚0.5mg。2019年2月因“肺转移”加用仑伐替尼12mg/d,肺转移灶缓慢增长。2021年患者自觉尿泡沫增多伴双下肢水肿,2021年2月复查白蛋白29.7g/l,肌酐102.8umol/L,24小时尿蛋白定量 6.28g,2021年4月仑伐替尼减量至8mg/d,2021年9月仑伐替尼减量至4mg/d,症状无明显改善,现为求进一步诊治收治入院。
既往史:高血压病史8年,平素口服硝苯地平控释片30mgbid+培哚普利吲达帕胺1#bid,自诉近3月血压控制欠佳,为160/110mmHg左右;糖尿病8年,目前诺和灵30R早20U晚10U控糖,自诉空腹血糖控制在5-6mmol/l。
手术史:2015-1-19因乙肝后肝硬化、肝癌我院行肝移植术;2020-12行左跟根骨骨折内固定术
个人史:否认吸烟史、饮酒史;生于原籍,无外地久居史,否认疫水疫区接触史。否认冶游史
婚育史:已婚,育有1子,配偶及儿子均体健。
家族史:否认家族相关遗传病史。
二、检查
24h尿蛋白定量:2022-02-10,11183.7mg/24h↑
尿ACR:2022-02-09, 4013.5mg/g↑;
肾功能: 2-10,尿素 9.20mmol/L,肌酐 106.0μmol/L,尿酸 407.00μmol/L,eGFR-EPI Cr 64,eGFR-MDRD 61
尿微量蛋白5项:2022-02-09,尿微量白蛋白 2430.00ug/ml↑,尿免疫球蛋白G 343.0mg/L↑,尿转铁蛋白 196.0mg/L↑,尿a1-微球蛋白 27.70mg/L↑,尿B2-微球蛋白 5.39mg/L↑;
尿常规:2022-02-08,尿蛋白质 4+↑,镜检白细胞 1.4/HP,镜检红细胞 1.2/HP;
肝功能:2022-02-09,丙氨酸氨基转移酶 8U/L,天门冬氨酸氨基转移酶 14U/L, 白蛋白 29.0g/L↓
空腹血糖: 2022-02-09,空腹血糖 7.21mmol/L↑;
餐后血糖: 2022-02-10,餐后二小时血糖 12.54mmol/L↑;
糖化血红蛋白: 2022-02-09,糖化血红蛋白-A1c 6.8%↑;
血脂: 2022-02-09,总胆固醇 6.16mmol/L↑,甘油三脂 4.20mmol/L↑,高密度脂蛋白胆固醇 0.89mmol/L↓,低密度脂蛋白胆固醇 3.71mmol/L,非高密度脂蛋白胆固醇
肝炎指标:2022-02-09,乙肝表面抗原 -,乙肝表面抗体 71.25mIU/ml↑,乙肝核心抗体(YP) 2.73S/CO↑,乙肝e抗原 -,乙肝e抗体(YP) 0.35S/CO↑。HBV-DNA -
FK506浓度:2022-02-09 1.80ng/ml
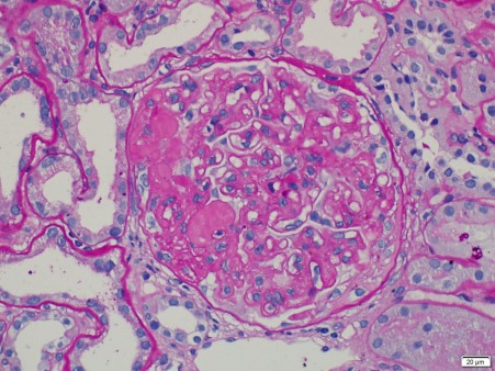
肾穿刺活检:1.肾小球微血管病变,考虑可能和仑伐替尼相关;2.合并糖尿病肾病 3.肾小动脉硬化。
建议糖肾的表现和肾小动脉硬化的表现也放
1张图
图1. 肾穿刺活检光镜下病理表现
三、诊断与鉴别诊断
1. 诊断:仑伐替尼相关肾损伤,糖尿病肾病,肾病综合征,乙肝后肝硬化肝移植术后,肝恶性肿瘤肺转移,高血压
2. 鉴别诊断:
(1)钙调磷酸酶抑制剂相关肾损伤:患者肝移植术后长期使用钙调磷酸酶抑制剂,但患者FK506浓度长期维持在较低水平,尿微量蛋白提示患者以肾小球损伤为主,病理肾小管损伤程度较轻,故不考虑。
(2)乙肝相关肾炎:患者既往慢性乙型病毒性肝炎病史,长期使用抗病毒药物,目前病毒复制阴性,肾活检病理未见乙肝相关肾炎典型表现,故不考虑。
(3)肿瘤相关性肾病:
四、治疗
1.与肝脏外科、肿瘤科MDT讨论后,予停用仑伐替尼,密切复查肿瘤进展情况;
2.强化降压、降糖、调脂等综合治疗:予ACEI/ARB类药物降压、将蛋白尿,密切监测肾功能;
3.根据eGFR调整药物剂量:恩替卡韦根据eGFR减量。
五、治疗结果、随访及转归
末次随访时间2022年8月,患者水肿好转。实验室检查: 血白蛋白38.3g/L,血肌酐107umol/L,24小时尿蛋白定量5757.5mg/24h。影像学结果提示肿瘤未进展。
讨 论
肝移植患者发生肾脏损害常见,但通常合并肾损伤因素较多(肿瘤、肝炎、特殊用药物等),不能单一采用CNI相关肾毒性解释。既往中国大陆地区对肝移植肾损伤患者的病因及重要性认识不足。例如,本例患者临床判断导致肾损伤因素较多(仑伐替尼、糖尿病、高血压、恩替卡韦、CNI药物、乙肝等),需根据肾活检病理结果方能进行诊断及鉴别诊断。本例病例报道提示,对肝移植肾损伤患者及时进行肾活检,能够避免非必要的调整免疫抑制剂、及时治疗原发病,有助于患者肾脏的长期预后。
大多数研究对肝移植合并肾损伤患者进行肾穿刺活检,结果显示有复杂的肾脏病变,但CNI相关肾病并非主要原因。Welker MW等一项单中心回顾性研究纳入出现新发蛋白尿和/或肾功能持续性下降≥3个月并接受肾活检的14例患者,平均随访361天,结果显示。无肾活检相关的重大并发症发生;肾活检病理表现多样:肾小球硬化(n=5),IgA肾病(n=4),替诺福韦相关肾病(n=1)、膜增生性肾小球肾炎(n=1)、膜性病变(n=1)、淀粉样变(n=1)、CNI肾病(n=1)[3]。Chan GS等一项中国香港地区单中心回顾性研究纳入10例肝移植合并蛋白尿或肾损伤进行肾活检的患者,发现主要的病理肾间质纤维化及肾小管萎缩,最常见的肾小球肾炎是糖尿病肾病(6例)及IgA肾病(4例),仅1例为CNI相关肾病[4]。Lee JH等一项单中心回顾性纳入10例肝移植合并蛋白尿或肾损伤进行肾活检的患者,平均随访47.1个月,结果显示无重大肾穿刺活检并发症;最常见的病理诊断为:肾小球肾炎,包括IgA肾病(n=4),系膜增生性肾小球肾炎(n=1),局灶节段性肾小球硬化(focal segmental glomerular sclerosis, FSGS)(n=1),膜性肾病(n=1)。典型的CNI相关肾病占30%。慢性病理改变包括:肾小球硬化(90%),间质纤维化(80%),肾小管萎缩(80%),40%的患者合并系膜增生。根据肾穿刺活检结果调整用药后,8/10患者肾小球滤过率(glomerular filtration rate, GFR)改善,2/10患者进入终末期肾病(end-stage renal disease, ESRD)[5]。Jin-Yon Kim等一项单中心、前瞻性、观察性研究入组合并蛋白尿或肾功能损害的肝移植患者81例,肾活检显示全部患者具有肾小球病变表现,42%表现为原发性肾小球疾病,仅16%有CNI毒性证据,电镜提示88%足突融合。平均随访20个月,8例患者进入ESRD[6]。 ORiordan A等一项研究纳入单中心肝外科-肾脏科联合数据库中肝移植后合并肾损伤患者,共54例患者接受评估,23例患者接受肾活检。肾活检病理结果包括:高血压肾硬化(44%),CNI相关肾病(48%),IgA肾病(9%),膜增生性肾小球肾炎(17%),急性肾小管坏死(4%),新月体肾炎(4%),糖尿病肾病(9%)。17%的患者出现肾活检相关出血。与未接受肾活检患者相比,肾活检组或者基础肌酐更高,但随访结束时两组肾脏存活率无统计学差异[7]。
上述研究结果提示,肝移植合并肾损伤患者肾活检病理结果异质性很大, 可累及肾小球、肾小管、肾间质、肾血管等多种病变,不能仅仅归因于CNI。肾活检有利于诊断除CNI引起的肾脏病变外的特殊肾脏疾病,能够避免不必要地调整或更换免疫抑制剂,及时进行肾活检可能能够改善患者预后。然而,上述研究样本量有限,多数为单中心回顾性队列研究,且目前中国大陆地区尚无肝移植合并肾损伤患者肾活检相关研究报道。
利益冲突声明 所有作者均声明本研究不存在利益冲突
参考文献
l 期刊文献
[1] Ojo AO, Held PJ, Port FK, et al. Chronic renal failure after transplantation of a nonrenal organ. N Engl J Med. 2003;349(10):931-40.
[2] Neau-Cransac M, Morel D, Bernard PH, et al. Renal failure after liver transplantation: outcome after calcineurin inhibitor withdrawal. Clin Transplant. 2002;16(5):368-73.
[3] Welker MW, Weiler N, Bechstein WO, et al. Key role of renal biopsy in management of progressive chronic kidney disease in liver graft recipients. J Nephrol. 2019;32(1):129-137.
[4] Chan GS, Lam MF, Kwan L, et al. Clinicopathological study of renal biopsies after liver transplantation. Hong Kong Med J. 2013;19(1):27-32.
[5] Lee JH, Cho YH, Ryu SJ, et al. Clinical usefulness of kidney biopsy in liver transplant recipients with renal impairment. Kidney Res Clin Pract. 2013;32(4):153-7.
[6] Kim JY, Akalin E, Dikman S, et al. The variable pathology of kidney disease after liver transplantation. Transplantation. 2010 ;89(2):215-21.
[7] ORiordan A, Dutt N, Cairns H, et al. Renal biopsy in liver transplant recipients. Nephrol Dial Transplant. 2009;24(7):2276-82.
[8] Bennett WM. Insights into chronic cyclosporine nephrotoxicity. Int J Clin Pharmacol Ther. 1996;34(11):515-9.
[9] Pillebout E, Nochy D, Hill G, et al. Renal histopathological lesions after orthotopic liver transplantation (OLT). Am J Transplant. 2005;5(5):1120-9.
[10] Fujinaga K, Usui M, Yamamoto N, et al. Hypertension and hepatitis C virus infection are strong risk factors for developing late renal dysfunction after living donor liver transplantation: significance of renal biopsy. Transplant Proc. 2014;46(3):804-10.
[11] Pichler RH, Huskey J, Kowalewska J, et al. Kidney Biopsies May Help Predict Renal Function After Liver Transplantation. Transplantation. 2016;100(10):2122-8.







