1例迟发诊断的原发性高草酸尿症
山东第一医科大学附属省立医院 王丹丹 刘翔
病史简介
患者女性,52岁,因“维持性血液透析3年余,血白蛋白持续降低8月余”于2025年5月9日入我院。患者3年前当地诊断尿毒症,病因不详,行右前臂动静脉内瘘造瘘术,开始规律行血液透析。8月前行常规化验时查白蛋白36g/L,予以补充白蛋白及营养支持后复查,仍波动在28~34g/L,治疗效果不佳。半年前全身关节痛,自以为受凉引起,就诊当地医院理疗有所缓解。发病以来患者饮食可,大便基本正常,有时便秘,2-3天一次,现无尿。既往右踝关节骨折内固定术后20年;3年前因慢性肾脏病贫血输注“AB型”血1600ml,无输血反应。否认烟酒史、否认近亲婚配、否认家族性遗传病史。
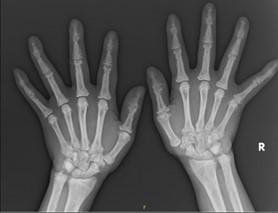
体格检查:生命体征平稳,慢性肾病面容,睑结膜略苍白,球结膜充血。心肺腹查体无异常。双手关节掌曲状态,背伸困难(图A)。双手、右下肢麻木疼痛、全身多个关节疼痛,四肢肌力5级。双下肢轻度浮肿。
入院后辅助化验检查:血常规+网织红细胞计数:血红蛋白101.00g/L,网织红细胞比率4.20%,网织红细胞绝对计数137.30*109/L;肝功生化血脂:谷氨酰转酞酶180U/L,碱性磷酸酶751U/L,腺苷脱氨酶117.80U/L,前白蛋白355mg/L,总白蛋白26.6g/L;尿素13.9mmol/L,肌酐519.90μmol/L,肾小球滤过率7.62,尿酸143μmol/L,钙1.91mmol/L,乳酸脱氢酶316.70U/L;甘油三酯1.75mmol/L,同型半胱氨酸33.20μmol/L;贫血指标六项:内因子抗体1.25AU/ml,总铁结合力49.70μmol/L;甲状旁腺素835.00pg/ml;凝血五项:D-二聚体5.49mg/L,纤维蛋白(原)降解产物16.56μg/ml,纤维蛋白原4.72g/L;PRO-BNP:1876.00pg/ml。病毒定量+梅毒抗体、粪便常规+沉渣+隐血未见异常。腹部超声:双肾萎缩,呈弧形强回声改变。上肢血管超声:右前臂桡动脉-头静脉造瘘术后。心脏超声、眼科检查未见明显异常。双手DR正斜位(图B):双手骨质改变,结合病史,考虑肾性骨病(骨膜下骨吸收)。
![]()
A
B
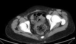
入院后请消化科、神经内科、眼科会诊,建议完善感染学指标,腹部增强CT,自身免疫性抗体谱,肌电图等。检查结果示自身免疫性肝炎及结缔组织病相关检测阴性。胸+全腹(含盆腔)CT平扫(图C-D):支气管炎,双肺多发炎性、纤维灶,建议随诊;双侧胸腔积液;左肩背部皮下结节,考虑良性病变,请结合临床;考虑食道裂孔疝,胃术后改变,请结合临床;胰头部饱满,建议随诊或进一步检查;脾大;双肾体积缩小、密度增高,所见骨质密度弥漫性增高,腹壁多发钙化灶,请结合临床;盆腔少量积液。眼超声:基本正常。
C
D
经检查,未找到患者低蛋白血症的特殊原因,但综合患者四肢关节症状,双肾萎缩、密度明显增高,骨密度弥漫性增高,不明原因肾衰竭,虽然无肾结石病史,考虑肾脏钙质沉着症致肾衰竭可能性大,首先怀疑原发性高草酸尿症。患者无尿,无法行尿草酸测定,鉴于基因检测仍是诊断金标准,向患者交待病情后,患者同意行基因检测。
患者于2025年5月24日出院,给予维生素B6 150mg bid、甲钴胺,兼顾营养神经及高草酸尿症的治疗,及叶酸,保肝,降磷,降PTH,纠正贫血,补充白蛋白等治疗。患者既往贫血治疗效果差,目前同时应用促红素+罗沙司他+铁剂治疗。
出院诊断:1.慢性肾衰竭尿毒症期 2. 原发性高草酸尿症待排 3.血液透析状态 5.肝功能异常 6.继发性甲状旁腺功能亢进症 7.低白蛋白血症 8高同型半胱氨酸血症
2025年5月28日,全外显子组测序(WES)结果显示:AGXT基因突变:c.823-824dupAG p.Ser275Argfs*38,变异分类:P(致病),合子类型:杂合。鉴于原发性高草酸尿症I型的遗传方式是常染色体隐性遗传,1个位点杂合突变不足以致病,以及WES在基因检测中的局限性,跟患者沟通后,进一步行全基因组(WGS)测序,结果(2025.6.18)另外发现:AGXT基因1个内含子突变c.525-158C>T,变异分类:VUS(临床意义未明),合子类型:杂合。患者父母已去世,无法行家系验证;内含子突变为VUS,进行内含子剪切功能验证需要额外花费,暂时无法实行,故遗传学诊断不确定,目前高度怀疑患者为原发性高草酸尿症I型。
2025年6月30日,患者因动静脉内瘘血栓形成,为修复动静脉内瘘再次入院。手术时,为进一步明确是否为原发性高草酸尿症,取右前臂皮肤及内瘘处动脉组织,行病理染色。7月4日皮肤、血管、血栓活检病理示(图E-H):皮肤(图E)结缔组织及脂肪组织中查见散在草酸盐结晶(偏振光下具折光性)。血管(图F)管壁查见透明结晶物质沉积,局灶可见或簇“扇面状”沉积(偏振光下具折光性),结合临床,符合草酸盐结晶沉积。 血栓:混合血栓。
I
结合病理检测结果,临床表现及基因检测结果,患者可确诊为原发性高草酸尿症I型。患者已经是尿毒症透析状态,双肾萎缩,肾功无法恢复。但患者呈现难治性贫血,血管,皮肤等仍有大量草酸盐沉积,可导致血管钙化、内瘘不通畅等病变,故在给予维生素B6,及纠正尿毒症并发症等治疗基础上,给予硫代硫酸钠治疗。
2025.07.03-07.12行硫代硫酸钠3.2g/d*10d静滴,治疗约1周后后患者双手关节可背伸(图I),双手及右下肢麻木疼痛消失,各关节疼痛明显减轻。
2025.08.02-08.11硫代硫酸钠3.2g/d逐渐增加至6.4g/d*10d。
2025.10.16-10.29 硫代硫酸钠6.4g/d*14d。
2025.11.10-11.27 患者因右膝关节炎急性发作入东南大学附属中大医院,给予依托考昔、曲马多、乐松,硫代硫酸钠,维生素B6等治疗,疼痛缓解出院。
2025.12.25-12.31 硫代硫酸钠6.4g/d*7d。患者右膝关节疼痛轻,仍无力,其他关节无明显疼痛。
讨论
原发性高草酸尿症是一种罕见的常染色体隐性遗传病[1],1925年由Lepoutre首次报道。其在欧洲发病率约(1-3)/1000 000,近亲婚配发病率更高 ADDIN EN.CITE
éférence des maladies rénales rares & EPICIME, Hospices Civils de Lyon & Université Claude-Bernard Lyon 1, Lyon, France, pierre.cochat@chu-lyon.fr. Cochat 2013 1 1 1 17 Cochat, P. Groothoff, J. Centre de r <span style="color:#000000;">Primary hyperoxaluria type 1: practical and ethical issues</span> Pediatr Nephrol Pediatr Nephrol 2273-81 28 12 20130314 Delayed Diagnosis Developing Countries Early Diagnosis Guideline Adherence Health Services Accessibility Humans Hyperoxaluria, Primary/complications/diagnosis/epidemiology/*therapy *Nephrology/ethics/methods Patient Selection Practice Guidelines as Topic Practice Patterns, Physicians Predictive Value of Tests Prognosis 2013 Dec 0931-041x 23494551 10.1007/s00467-013-2444-5 NLM eng [2]。根据病变基因不同可分为3种亚型,其中I型最常见,约占80%,预后最差,II型约占10%,III型约占5%~10% ADDIN EN.CITE[3]。PH1是AGXT基因突变致肝脏特异性过氧化物酶体酶丙氨酸乙醛酸氨基转移酶(alanine-glyoxylate aminotransferase,AGT)缺乏,导致乙醛酸转化为甘氨酸减少,草酸生成增加。PH1可在任何年龄发病,早期主要临床表现是小儿肾钙质沉着症、偶发或多发结石,但由于病程较长,临床表现各异,极易误诊,且不同类型PH患者预后不同,因此欧洲罕见肾病参考网(EPKnet)推荐将基因诊断作为PH的金标准 ADDIN EN.CITE ADDIN EN.CITE.DATA [4]。超过50%的患者在确诊时已患有终末期肾脏病。当血草酸盐浓度过饱和时,可形成草酸盐结晶,累及多器官:沉积在肾脏,可引起反复发生的泌尿系结石,沉积在肾小管、肾间质时可引起肾功能下降,最终导致终末期肾脏病;沉积在骨骼可引起骨钙化、骨关节畸形;累及骨髓时可导致难治性贫血;累及心脏时可引起心肌病、传导阻滞;累及血管时可导致引起血管病灶和内瘘栓塞;累及神经系统时可引起周围神经病变和神经炎;累及眼睛时可引起视网膜病变。本例患者初诊时已进入终末期肾脏病,临床表现以骨骼、神经系统受累为主,辅助检查示中度贫血、血液高凝状态,顽固性低蛋白血症,与李作林 ADDIN EN.CITE Gupta 2022 5 5 5 17 Gupta, A. Somers, M. J. G. Baum, M. A. Consultant Paediatric Nephrologist, Birmingham Womens and Childrens NHS Foundation Trust, Birmingham, UK. Division of Nephrology, Boston Childrens Hospital, Harvard Medical School, Boston, MA, USA. <span style="color:#000000;">Treatment of primary hyperoxaluria type 1</span> Clin Kidney J Clin Kidney J i9-i13 15 Suppl 1 20220517 Ph1 RNAi dialysis infantile PH1 kidney failure lumasiran nedosiran oxalosis primary hyperoxaluria transplantation 2022 May 2048-8505 (Print) 2048-8505 35592620 PMC9113429 10.1093/ckj/sfab232 NLM eng 李作林 2024 10 李作林 10 10 17 王彬 杨艳 刘玉秋 倪海锋 谢筱彤 杨钧岚 张晓良 东南大学附属中大医院 中华肾脏病杂志 <span style="color:#000000;"></span><span style="font-family:"font-size:14px;">以重度贫血、顽固性低白蛋白血症和高凝状态为临床特征的原发性高草酸尿症</span><span style="font-family:"font-size:14px;">1</span><span style="font-family:"font-size:14px;">例</span><span style="font-family:"font-size:14px;"></span> 中华肾脏病杂志 305-309 40 4 高草酸尿症,原发性 贫血 低白蛋白血症 高凝状态 2024 1001-7097 https://d.wanfangdata.com.cn/periodical/CiBQZXJpb2RpY2FsQ0hJU29scjkyMDI1MTExNzE2MDExNxIQemhzemI5ODIwMjQwNDAwNxoIc2dwZHV1b2k%3D 10.3760/cma.j.cn441217-20230629-00650 北京万方数据股份有限公司 基金项目: chi [5]报道1例PH1患者临床特征相似。但目前报道PH患者合并低蛋白血症病例少见,病因仍不清楚。对于PH1的治疗包括支持治疗、透析、移植、药物等方面。支持治疗包括①水化即大量液体摄入,欧洲泌尿协会推荐成人每天摄入3.5-4L液体 ADDIN EN.CITE ADDIN EN.CITE.DATA [6],EPKnet建议儿童按体表面积至少摄入2-3L/ m² 、并根据晨尿结果调整液体管理优化尿草酸排泄 ADDIN EN.CITE ADDIN EN.CITE.DATA [4];②柠檬酸碱化尿液:通过柠檬酸将尿液PH控制在6.2~6.8抑制草酸钙结晶;③限制高草酸饮食但不推荐低草酸饮食:每天限制高草酸食物如菠菜、巧克力、坚果等摄入可有效减少尿草酸排泄,但低草酸饮食对改善尿草酸水平无有益效果且影响生活质量,因此不推荐低草酸饮食;④吡哆醇:维生素B6是AGT辅因子,可改善AGT活性。对于p.Gly170Arg和p.Phe125Ile的PH1突变患者摄入吡哆醇可明显降低尿草酸水平 ADDIN EN.CITE
[7],因此推荐疑似PH患者和基因证实PH1患者最大剂量5mg/Kg摄入吡哆醇,且使用吡哆醇治疗2周后重复测量尿草酸水平评估吡哆醇反应性;透析方案:对于已进展至终末期肾脏病患者常规透析方案无法清除内源性草酸生成量,因此推荐高通量+高血流量透析,必要时甚至可每日血透联合夜间腹透降低草酸水平,但需注意的是不推荐延长透析时间,而应增加透析次数,因为血液透析清除草酸效果会随草酸水平降低而降低;移植:目前肝移植是PH1患者治愈的唯一方法,推荐VB6治疗无应答及无法获得RNAi治疗的CKD4期以上PH1患者行肝肾联合移植,VB6应答纯合基因型的CKD5期PH1患者可仅行肾移植。RNA干扰(RNAi):目前有Lumasiran及Nedosiran两种药物被美国食品药品监督管理局(FDA)批准用于PH1患者,Lumasiran主要通过沉默编码乙二醛酸氧化酶基因降低草酸水平,一项III期临床试验显示Lumasiran治疗透析患者血浆草酸水平可降低42%,非透析患者使用Lumasiran的血浆草酸水平可降低33% ADDIN EN.CITE ADDIN EN.CITE.DATA [8]。而Nedosiran抑制L-乳酸脱氢酶A产生抑制草酸生成,在PHYOX1研究中,67%的PH1或PH2患者使用Nedosiran后尿草酸水平可降低55% ADDIN EN.CITE ADDIN EN.CITE.DATA [9]。此外,目前也有通过规律成粗间隔短回文重复及其相关蛋白9(CRISPR-Cas9)基因编辑技术来针对性减少草酸生成。 Singh 2020 7 7 7 17 Singh, P. Chebib, F. T. Cogal, A. G. Gavrilov, D. K. Harris, P. C. Lieske, J. C. Division of Nephrology and Hypertension, Mayo Clinic, Rochester, Minnesota, USA. Department of Laboratory Medicine and Pathology, Mayo Clinic, Rochester, Minnesota, USA. Department of Biochemistry and Molecular Biology, Mayo Clinic, Rochester, Minnesota, USA. <span style="color:#000000;">Pyridoxine Responsiveness in a Type 1 Primary Hyperoxaluria Patient With a Rare (Atypical) AGXT Gene Mutation</span> Kidney Int Rep Kidney Int Rep 955-958 5 6 20200413 2020 Jun 2468-0249 32518881 PMC7270974 10.1016/j.ekir.2020.04.004 NLM eng 本例患者在血液透析、吡哆醇(维生素B6)、纠正贫血、补充白蛋白、纠正钙磷代谢紊乱等对症支持基础上,基于硫代硫酸钠用于钙化性尿毒症患者、透析患者缓解血管钙化 ADDIN EN.CITE ADDIN EN.CITE.DATA [10],参考中大方案 ADDIN EN.CITE
刘玉秋 2023 12 刘玉秋 12 12 17 谢筱彤 刘宏 张晓良 东南大学附属中大医院肾脏科,东南大学医学院,南京210009 中华肾脏病杂志 <span style="color:#000000;"></span><span style="font-family:"font-size:14px;">透析患者钙化防御的治疗策略</span><span style="font-family:"font-size:14px;"></span> 中华肾脏病杂志 393-397 39 5 钙过敏 透析 治疗 创面处理 超说明书用药 2023 1001-7097 https://d.wanfangdata.com.cn/periodical/CiBQZXJpb2RpY2FsQ0hJU29scjkyMDI1MTExNzE2MDExNxIQemhzemI5ODIwMjMwNTAxMhoIcjVicXdhNDU%3D 10.3760/cma.j.cn441217-20220727-00742 北京万方数据股份有限公司 基金项目: chi [11]并结合病人本身情况,尝试予以硫代硫酸钠静脉滴注(起始剂量为3.2g/d,逐渐增加至6.4g/d),1个月进行一次疗程(2周)治疗,患者自觉双手疼痛、麻木等症状及双手关节活动明显好转。需要注意的是,目前硫代硫酸钠在该病的应用上仍属于超适应症用药,具体治疗方案仍需进一步探索。总结
原发性高草酸尿症患者早期临床表现不典型,且起病年龄跨度大,极易引起漏诊或误诊,因此,对于临床上多发肾结石、原因不明肾功能不全患者需警惕该病的发生,加强临床、病理、检验、遗传等多专科领域协助诊疗模式有利于早期诊断、早期治疗,改善患者预后。同时,我们参考中大方案改善患者症状,为该疾病诊治提供一定的临床经验。
参考文献
[1] CORNELL L D, AMER H, VIEHMAN J K, et al. Posttransplant recurrence of calcium oxalate crystals in patients with primary hyperoxaluria: Incidence, risk factors, and effect on renal allograft function [J]. Am J Transplant, 2022, 22(1): 85-95.
[2] COCHAT P, GROOTHOFF J. Primary hyperoxaluria type 1: practical and ethical issues [J]. Pediatr Nephrol, 2013, 28(12): 2273-81.
[3] GUPTA A, SOMERS M J G, BAUM M A. Treatment of primary hyperoxaluria type 1 [J]. Clin Kidney J, 2022, 15(Suppl 1): i9-i13.
[4] GROOTHOFF J W, METRY E, DEESKER L, et al. Clinical practice recommendations for primary hyperoxaluria: an expert consensus statement from ERKNet and OxalEurope [J]. Nat Rev Nephrol, 2023, 19(3): 194-211.
[5] 李作林, 王彬, 杨艳, et al. 以重度贫血、顽固性低白蛋白血症和高凝状态为临床特征的原发性高草酸尿症1例 [J]. 中华肾脏病杂志, 2024, 40(4): 305-9.
[6] SKOLARIKOS A, SOMANI B, NEISIUS A, et al. Metabolic Evaluation and Recurrence Prevention for Urinary Stone Patients: An EAU Guidelines Update [J]. Eur Urol, 2024, 86(4): 343-63.
[7] SINGH P, CHEBIB F T, COGAL A G, et al. Pyridoxine Responsiveness in a Type 1 Primary Hyperoxaluria Patient With a Rare (Atypical) AGXT Gene Mutation [J]. Kidney Int Rep, 2020, 5(6): 955-8.
[8] MICHAEL M, GROOTHOFF J W, SHASHA-LAVSKY H, et al. Lumasiran for Advanced Primary Hyperoxaluria Type 1: Phase 3 ILLUMINATE-C Trial [J]. Am J Kidney Dis, 2023, 81(2): 145-55.e1.
[9] HOPPE B, KOCH A, COCHAT P, et al. Safety, pharmacodynamics, and exposure-response modeling results from a first-in-human phase 1 study of nedosiran (PHYOX1) in primary hyperoxaluria [J]. Kidney Int, 2022, 101(3): 626-34.
[10] WEN W, PORTALES-CASTILLO I, SEETHAPATHY R, et al. Intravenous Sodium Thiosulphate for Calciphylaxis of Chronic Kidney Disease: A Systematic Review and Meta-analysis [J]. JAMA Netw Open, 2023, 6(4): e2310068
[11] 刘玉秋, 谢筱彤, 刘宏, et al. 透析患者钙化防御的治疗策略 [J]. 中华肾脏病杂志, 2023, 39(5): 393-7.











