肺肾联合受累的anca相关性血管炎一例
宋安妮 何方方 华中科技大学同济医学院附属协和医院肾内科
病例摘要及病例特点
男性患者,53岁,因“间断咯血2月,发现肌酐升高2天”入院。
现病史信息:患者自诉2月前无明显诱因开始出现咳嗽咳痰,痰中带暗红色血丝、2-3次/天,伴纳差乏力,夜尿增多、4-5次/晚,尿中泡沫增加,未予重视。2天前自觉痰中血丝增多、5-6次/天,偶伴低热、发热无规律,伴活动后喘气,无尿量减少、皮疹、关节痛、脱发、腹痛、血便、听力下降、口干、眼干等不适,至当地医院查血常规:血红蛋白96g/L,红细胞2.94×10^12/L,C-反应蛋白58.70mg/L;生化:血肌酐580umol/L、白蛋白32.7g/L;尿常规:尿蛋白3+,尿潜血2+;肺部CT提示:肺部炎症,诊断考虑:肾功能不全、中度贫血、肺部感染、低蛋白血症等,住院期间予以白眉蛇毒血凝酶止血、头孢他啶抗感染,口服尿毒清颗粒、金水宝胶囊等药物治疗,自觉咳嗽咳痰、纳差乏力无明显好转,患者现为求进一步治疗入住我科,自起病以来,精神一般,食欲不佳,不失眠,小便如上,大便正常,乏力明显,体重未见明显变化。
既往史信息:否认高血压、冠心病及糖尿病病史。否认乙肝、丙肝等传染病史。否认外伤、手术史,否认药物、食物过敏史。
个人史信息:职员。否认疫区、疫水接触史。否认吸烟、饮酒史。
婚育史信息:已婚,配偶健康良好,育有一子。
家族史信息:父母及兄弟姐妹无明确高血压、糖尿病、肾脏病或自身免疫性疾病史。
入院查体:体温:36.6℃,呼吸:20次/分,脉搏:86次/分,血压:165/85mmHg。身高172cm,体重95kg,BMI 32.11kg/m2。全身浅表淋巴结未触及肿大。神志清,贫血貌、浅表淋巴结未触及肿大,心脏听诊无异常,双肺可闻及少量湿啰音,腹平软,无压痛及反跳痛,肝脾肋下未触及,双下肢无明显水肿。
诊治经过:入院后完善相关化验检查:血常规分析:红细胞2.78×10^12/L,血红蛋白90g/L,C-反应蛋白38.70mg/L;尿常规分析:尿蛋白3+,尿潜血3+;24h尿蛋白定量为1.976g;生化26项+TNI:白蛋白:34.1g/L,肌酐681.5μmol/L,尿酸536.7μmol/L,总胆固醇6.43mmol/L,甘油三酯2.52mmol/L,低密度脂蛋白胆固醇3.92mmol/L,磷1.75mmol/L,肾小球滤过率7.70ml/min/(1.73m2);甲状旁腺素194.0pg/ml;抗MPO抗体180.0CU;余血糖、GBM、自免全套、血/尿固定电泳+血游离轻链、甲状腺功能、血清肿瘤标志物、抗磷脂酶A2受体抗体定量、乙肝、丙肝、梅毒、HIV联合试验、大便常规、大便潜血未见明显异常。
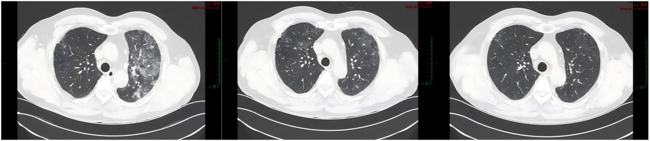
十二通道常规心电图:窦性心律,正常范围心电图。肝胆脾胰超声检查:肝内结石或钙化,胆、脾、胰腺未见明显异常。肾脏超声检查:左、右肾大小分别为:101×51mm、97×51mm,实质回声均匀,皮髓质分界尚清,左右肾皮质厚分别约11mm、9mm,左肾上部见一大小约14×9mm的无回声,边界清,右肾见数个无回声,边界清,其中下部一大小约5×3mm,双肾集合系统五分离,见数个强回声,其中左肾中盏、右肾上盏一长分别约5mm、6mm,提示双肾囊肿、双肾结石。心脏超声检查:升主动脉稍宽,室间隔临界厚。肾动态显像检查结论/诊断:双肾血流灌注明显降低,肾小球滤过功能严重受损,左、右肾GFR分别约11.8ml/min和12.4ml/min。肺部CT提示:双肺所见,多考虑间质性病变,纵隔淋巴结增多;双侧少量胸腔积液,心包积液或心包膜增厚。
入院后予低盐、优质蛋白饮食,抗感染、止血,降压、生血、降尿酸、降血脂等对症治疗。排除禁忌后,完善肾活检。
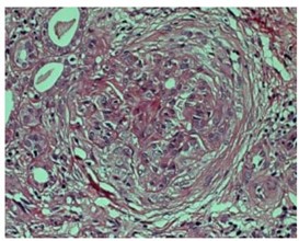
光镜描述:石蜡切片21个层面分别行H&E,PAS,Masson,PASM+HE,PASM+Masson及碱性刚果红染色。最大切面可见9个肾小球,5条小动脉分支。肾小球无明确分叶;3个球性硬化,其毛细血管袢均呈明确皱缩状,其囊壁增厚伴分层;1个节段硬化(球囊粘连伴足细胞节段增生及蛋白小滴);见3个细胞性、1个纤维性大小不等的新月体,其中2个为环状细胞性新月体,也可见足细胞节段增生;1处节段“袢坏死”;余肾小球体积普遍增大,细胞数80±个/肾小球,系膜细胞2±个/系膜区,系膜区轻度增宽,毛细血管袢开放好,呈明确僵硬、扩张状,浸润细胞0-3个/肾小球,主为单个核细胞,少数球囊粘连,囊壁节段增厚伴轻度分层。PASM+HE、PASM+Masson:阴性。小管间质轻中度慢性病变基础上伴中度急性病变:小灶性小管萎缩、基底膜增厚,未萎缩小管上皮细胞弥漫浊肿、颗粒变性及细小空泡变性,小灶性(25%-50%)小管上皮细胞刷状缘脱落、上皮细胞扁平,管腔内见较多红细胞管型,少量蛋白管型,数处见脱落的上皮细胞碎屑。肾间质区域轻-中度斑片状灶性增宽,纤维化1-2+,伴较多炎性细胞浸润,主为单个核细胞,尚可见少量浆细胞。小灶性管周毛细血管扩张,其内也可见较多红细胞。少数动脉内膜纤维样增厚、管腔狭窄及小动脉玻璃样变。碱性刚果红染色阴性。
免疫荧光:冰冻切片最大切面上见7个肾小球,3个呈“簇状”分布的球性硬化,余肾小球体积增大:节段毛细血管袢及少量系膜区可见IgG3(0-1+)、IgG4(1-2+)、IgM(2-3+)、IgA(0-1+)、C3(2-3+)、轻链Kappa(0-1+)及Lambda(0-1+)呈颗粒状沉积。IgG、IgG1、IgG2、C1q、C4、PLA2R染色阴性。肾小球外无免疫球蛋白和补体成分沉积。石蜡切片免疫荧光染色:肾小球轻链Kappa及Lambda均未发现明确诊断意义的阳性沉积。可见少量轻链Kappa(3+)及Lambda(2-3+)阳性的蛋白管型。
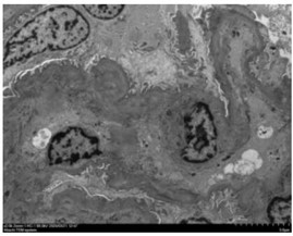
电镜描述:电镜下见1个肾小球。系膜细胞(0-3个/系膜区),系膜基质轻度增多。毛细血管内皮细胞节段增生、肿胀,腔内少量炎性细胞浸润。基底膜节段皱缩,未见明确分层及厚薄不均。系膜区、内皮下、基底膜内、上皮下均未见具有明确诊断意义的电子致密物沉积。足突节段融合并微绒毛化。
病理学诊断:根据病理学改变特征,结合临床,病理诊断支持:ANCA相关血管炎。镜下主要表现轻-中度慢性病变基础上伴中度急性病变,同时提示存在足细胞病变,建议注意监测肾功能、24小时尿蛋白定量等指标的变化,尚需结合临床其他系统表现及免疫学相关指标、血/尿免疫固定电泳、血/尿游离轻链、肿瘤标志物、淋巴结检查等,进一步除外其他继发性肾脏病。

病例分析及讨论
病例特点:此为一例较为典型的肺肾联合受累的ANCA相关性血管炎病例。患者系中年男性,病程呈急性且进展迅速,临床表现主要体现为泌尿系统症状,涵盖纳差乏力、夜尿增多、泡沫尿等,以及以咯血、偶发低热、活动后喘气为主要表现的呼吸系统症状。专科查体显示血压偏高、体型超重,有贫血貌,双肺可闻及少量湿啰音。实验室检查表明血肌酐显著升高、肺部存在间质性改变、抗MPO抗体呈阳性。肾脏病理表现呈现为新月体形成、毛细血管袢坏死、寡免疫复合物沉积。综合患者的临床表现、实验室检查结果及肾脏病理表现,最终明确诊断为ANCA相关性血管炎(AAV)中的显微镜下多血管炎(MPA)。
在对该患者的诊治过程中,依据临床表现及实验室检查结果,已明确诊断为抗中性粒细胞胞浆抗体(ANCA)相关性血管炎。此时,是否需要进行肾脏穿刺活检成为待决问题。根据2024年改善全球肾脏病预后组织(KDIGO)指南,针对疑似肾脏血管炎的患者,需分两种情况进行分析。其一,若患者的临床症状与ANCA相关性血管炎相符,且蛋白酶3(PR3)或髓过氧化物酶(MPO)呈阳性,对继发性血管炎的怀疑程度较低,同时患者于经验丰富的医疗中心接受诊治,且病情进展迅速,那么在开始治疗的同时,应尽快实施活检。其二,若患者临床症状符合任何原发性小血管炎,PR3或MPO呈阴性,且无明显禁忌证,均应进行肾脏活检。由此可见,肾脏活检在ANCA相关性血管炎肾损害的诊疗中,其作用是得到广泛认可的,既能够明确诊断、进行分型,也可以评估肾脏受累的具体情况。
治疗及随访
鉴于患者存在肺部感染情况,在治疗方面,首先给予丙种球蛋白10g静脉滴注,持续4天,同时开展抗感染及止血治疗。在此前提下,结合患者的经济状况,采用环磷酰胺联合糖皮质激素的诱导缓解方案,并且同步实施降压、生血、降尿酸以及降血脂治疗。在患者第二次入院复查时,其血肌酐水平进一步升高,因此,在原有的环磷酰胺加激素治疗方案基础上,为患者加用了吗替麦考酚酯。此后可见,目前患者经过5次诱导缓解治疗,抗MPO抗体水平明显下降,肺部间质性改变在治疗过程中逐渐减轻直至消失,然而血肌酐及24小时尿蛋白水平虽有所降低,但治疗效果并不显著。
治疗体会并文献复习
依据KDIGO指南,针对新发生的ANCA相关性血管炎,在治疗方面通常划分为两个阶段,即诱导缓解阶段与维持治疗阶段。于诱导缓解阶段,一般采用环磷酰胺或利妥昔单抗联合糖皮质激素的治疗方案。其中,以下六种情形优先选用利妥昔单抗:儿童及青少年、有生育需求的男性与绝经前女性、身体状况虚弱的老年人、需要减少糖皮质激素使用剂量的患者、疾病复发患者、PR3阳性患者。而对于获取利妥昔单抗存在困难、患有严重肾小球病变(即血肌酐>354μmol/L)的患者,则优先选用环磷酰胺。诱导缓解阶段通常为六个月,在部分情况下也会选用甲氨蝶呤/吗替麦考酚酯、阿伐可泮、血浆置换等替代方案。该例患者肾功能严重受损,可考虑选择血浆置换方案,但鉴于患者经济条件有限,最终选择的是环磷酰胺联合激素的治疗方案。待患者病情缓解后,一般采用利妥昔单抗进行维持治疗48个月,也可选用硫唑嘌呤、甲氨蝶呤、吗替麦考酚酯进行替代治疗。
该患者已接受5个疗程的治疗,然而肾脏恢复状况未达预期,主要可从以下4个方面探寻原因。其一,患者启动治疗的时机偏晚,入院前2个月,患者已出现咯血、夜尿频次增多、尿液泡沫增多等症状,这表明其发病时间或更早,但患者未对此予以重视,从而错失治疗的最佳时段。其二,患者同时伴有肾脏与肺部的损伤,多器官损害是预后不良的危险因素之一。其三,患者血肌酐水平>300μmol/L,依据指南推荐,应考虑实施血浆置换,但受经济条件所限,患者最终选择了环磷酰胺 + 激素的治疗方案,这或许也是影响预后的因素。最后,患者自身存在高血压、高血脂、高尿酸等代谢高危因素,同时伴有贫血、甲状旁腺激素水平升高等情况,肾脏病理呈现慢性改变,这些均提示患者可能原本就存在慢性肾脏病基础。因此,在未来遇到类似患者时,需尽早开展治疗,尽可能选取恰当的治疗方案,消除高危因素,助力患者恢复健康。
参考文献
1. Kidney Disease: Improving Global Outcomes (KDIGO) ANCA Vasculitis Work Group. KDIGO 2024 Clinical Practice Guideline for the Management of Antineutrophil Cytoplasmic Antibody (ANCA)-Associated Vasculitis. Kidney Int 2024;105(3S):S71-S116.
2. Chalkia A, Jayne D. ANCA-associated vasculitis-treatment standard. Nephrol Dial Transplant 2024;39(6):944-955.








