屎肠球菌感染相关性肾小球肾炎1例
病例摘要
36岁女性,因“尿频、尿急1周,腹痛伴呕吐2天”入院。患者1周前无明显诱因出现尿频、尿急,每日排尿6-7次,无尿量、尿色改变,门诊考虑“泌尿系感染”,予氧氟沙星口服3日后症状缓解。2天前出现间断性腹部烧灼感,伴左下腹隐痛,夜间加重,并有呕吐胃内容物,无发热、头痛、胸闷、腹胀、腹泻等其他不适。门诊尿常规示:红细胞1215.99/μL、白细胞188.77/μL、结晶99.66/μL。为求进一步诊治收入我科。既往史:自诉为过敏体质,半年前体检未见明显异常。查体:血压120/80mmHg,体温36.7℃,脉搏89次/分,呼吸16次/分。颜面部轻度浮肿,皮肤及黏膜无皮疹、黄染、出血点,浅表淋巴结未触及肿大。心脏听诊无异常,双肺听诊呼吸音清晰,腹平软,双肾区叩击痛阳性,双下肢未见水肿。
辅助检查
肾功能:血肌酐Scr:669umol/L,Urea:20.85mmol/L,血常规:白细胞:20.85*10^9个/L,中性粒细胞%:91.80%,Hb:98g/L,血小板计数:146.00*10^9个/L,CRP >240 mg/L,SAA >300 mg/L,降钙素原:52.7 ng/ml,ALB:33g/L,D2聚体:9.47 mg/L,血沉:89.00 mm/h,IgE:826 IU/mL,补体C3:1.240 g/L,补体C4:0.412 g/L,ANCA(-),抗GBM抗体(-),ANA+ENA(-),ASO+类风湿因子(-),抗PLA2R受体抗体:1.78 RU/mL,尿本周蛋白、血清蛋白电泳正常,TSPOT(-),胰腺炎生化(-),入院24h尿量470ml,24h尿总蛋白定量:0.92g/24h,HIV、乙肝病毒和丙肝病毒均阴性,血培养:(-),尿培养:屎肠球菌;泌尿系彩超:左肾体积增大,以前后径为甚,包膜光整,大小约10.2×6.3cm,实质厚约2.6cm,实质回声增强、分布不均匀,集合系统未见明显分离。右肾体积增大,以前后径为甚,包膜光整,大小约11.1×7.2cm,实质厚2.4cm,实质回声增强、分布不均匀,集合系统未见明显分离,双侧输尿管未见明显扩张。膀胱充盈良好,壁不厚,内未见明显局限性异常回声。影像结论:双肾肿大伴实质回声增强,胸部CT:右肺中叶、左肺上叶慢性炎症,两侧胸腔少量积液,肾脏CT:双侧肾脏形态饱满,肾周炎性表现,心电图、心脏彩超无明显异常。
入院诊断及治疗经过
入院诊断:1.急性肾损伤 2.泌尿系感染 3.肺部感染 4.胸腔积液 5.轻度贫血
因患者肾功能持续恶化(入院24h复查Cr:710 umol/L),予以临时置管、血液透析,并予以抗感染(头孢哌酮钠他唑巴坦钠+莫西沙星)治疗。治疗后血肌酐、尿素氮稳定下降,尿常规白细胞有所下降,透析5次后未再透析。
入院2周后复查血白细胞:7.22*10^9个/L,降钙素原:0.11 ng/ml,Scr:215 umol/L,血沉94 mm/h,24h尿总蛋白1.64g/24h,行肾穿刺活检。11-06下肢静脉彩超:双下肢小腿肌间静脉及左下肢腘静脉、胫后静脉血栓形成。
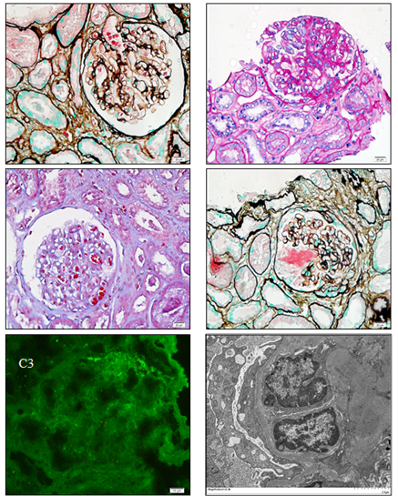
肾穿刺活检结果:
光镜:最大切面见8个肾小球,其中1个球性废弃,1个细胞性新月体伴袢坏死、纤维素样渗出,2个节段细胞性新月体。余小球系膜基质节段轻度增生,偶见内皮细胞成对,袢开放尚可。PASM-Masson染色:阴性;肾小管间质病变轻微,散在小管细胞扁平、刷状缘脱落,部分小管上皮细胞颗粒变性,管腔内偶见蛋白管型、少量脱落的上皮细胞。间质水肿,少量浸润细胞灶性聚集,以淋巴细胞为主。间质血管未见明确病变。
免疫荧光:冰冻切片见4个肾小球,荧光染色C3++,节段分布,少量颗粒样沉积于系膜区。IgA(-)、IgG(-)、IgM(-)、C4(-)、C1q(-)。入球小动脉见C3沉积,其余未见免疫复合物及补体沉积。
电镜:肾组织电镜下可见1个肾小球,毛细血管袢排列不规则,血管腔内白细胞易见,少数节段内皮细胞成对。毛细血管基底膜大部分节段无明显改变,少数节段卷曲或见内皮下间隙增宽,上皮细胞下偶见电子致密物沉积。足细胞肿胀、部分空泡变,足突大部分融合,系膜细胞和系膜基质轻度、少数节段中度增生,系膜区偶见电子致密物沉积。肾间质灶性炎症细胞浸润,束状胶原纤维沉积。
诊断:感染相关性肾小球肾炎

治疗:
再次复查ANCA(-),补体水平正常范围。考虑肾穿刺病理报告新月体比例较高,予以激素+环磷酰胺治疗,辅助RASi(厄贝沙坦片 150mg 早上1次 口服)、抗凝、保护内皮、改善贫血等治疗。
转归:
治疗半年后,肾功能:血肌酐74μmol/L、尿蛋白定量0.14g/24h,血常规等指标恢复正常,下肢血管彩超正常。

讨论:
感染相关性肾小球肾炎(Infection-related Glomerulonephritis,IRGN)是由肾外感染诱发、免疫复合物介导的肾小球损伤性疾病,根据病原体可分为细菌、病毒及寄生虫感染所致。细菌性IRGN主要包含链球菌感染后肾小球肾炎(APSGN)和葡萄球菌相关肾小球肾炎(SAGN),其中APSGN被视为典型的细菌感染相关性肾小球肾炎。在流行病学和细菌学方面,感染相关性肾小球肾炎的模式在过去几十年中已发生显著变化。发达国家中,随着卫生条件改善,APSGN的发病率大幅下降,而SAGN则呈上升趋势,尤其以耐甲氧西林金黄色葡萄球菌(MRSA)感染为主。这种葡萄球菌感染可表现为从浅表皮肤感染至深部侵袭性感染(如心内膜炎)等多种形式。值得注意的是,成人细菌感染相关性肾小球肾炎的预后通常较差,不同于儿童APSGN的良好病程。约半数成人患者会遗留持续性肾功能损害,其中约三分之一可进展至肾衰竭。此外,该病在发展中国家更为常见,而由此导致的慢性肾脏病给这些地区的医疗系统带来沉重负担。尽管如此,APSGN目前仍是儿童急性肾炎最常见的病因。
IRGN临床表现主要是急性肾炎综合征包括肉眼血尿、镜下血尿、蛋白尿、肾功能减退或快速进展期肾衰竭、高血压、水肿。IRGN的诊断需基于细菌培养证实的现症或近期感染。对于疑似病例,尤其在病原学证据不明或伴有合并症致诊断困难时,肾穿刺活检有助于明确诊断、评估预后并指导治疗。其典型肾脏病理表现为:光镜下可见毛细血管内细胞增生伴中性粒细胞浸润(急性渗出性肾小球肾炎),可伴有新月体形成;免疫荧光以C3沉积为主;电镜下可见上皮下“驼峰样”电子致密物及管腔内白细胞。鉴别诊断需注意与C3肾小球肾炎(C3GN)区分,后者以肾组织C3沉积为主要特征,常伴血清C3降低而C4正常。若细菌感染相关性肾小球肾炎患者血清C3持续低水平超过12周,应考虑肾活检以排除合并C3GN的可能。该病的治疗及预后主要取决于基础感染的严重程度。多数患者经早期诊断及有效抗感染治疗后预后良好,急性期常需透析支持。
本例患者为中年女性,急性起病,临床表现为急性肾损伤,感染指标显著升高,尿病原学检测提示屎肠球菌,多次ANCA检测均为阴性,病程中出现下肢静脉血栓形成。肾穿刺病理显示免疫荧光仅C3阳性,电镜下见血管腔内白细胞及上皮下散在电子致密物沉积,符合感染相关性肾小球肾炎诊断。尽管目前糖皮质激素及免疫抑制剂在成人IRGN治疗中的作用尚存争议,本例患者经抗感染及后续激素联合环磷酰胺治疗后,肾功能及蛋白尿均得到明显改善。
参考文献:
1) KDIGO 2021 Clinical Practice Guideline for the Management of Glomerular Diseases
2) Yamashita M. et al. The Continuing Need for Electron Microscopy in Examination of Medical Renal Biopsies: Examples in Practice,2021
3) C3 Glomerulopathy: Ten Years' Experience at Mayo Clinic. Mayo Clin Proc. 2018
4) Medjeral-Thomas NR, Pusey CD. New Insights into Epidemiology and Outcome of Bacterial Infection-Related Glomerulonephritis. Clin J Am Soc Nephrol. 2021;16(8):1149-1151.
5) Satoskar AA, Parikh SV, Nadasdy T. Epidemiology, pathogenesis, treatment and outcomes of infection-associated glomerulonephritis. Nat Rev Nephrol. 2020 Jan;16(1):32-50.






