病例分享—腹腔镜下治疗腹膜透析并发胸腹瘘
病例摘要
患者男,49岁,因“发现肌酐异常11年,咳嗽、胸闷1周余”就诊于我院。患者11年前,体检发现肌酐升高,约100+umol/L,伴有泡沫尿,血压偏高(具体不详),后完善肾脏穿刺活检具体病理类型不详,长期予以口服中药治疗。8月前患者查得血肌酐约900+umol/L,遂于2024年1月行行腹膜透析手工法置管术,术后经诱导PD治疗后转为规律居家PD治疗。PD方案为:1.35%低钙腹膜透析液2000ml每日4次,每次留腹4h,1.35%低钙腹膜透析液2000ml夜间留腹,每日1次,每次12h。PD门诊规律随访,尿量约2000-3000mL/d,超滤量-100至-1000mL/d。1周前,患者无明显诱因出现咳嗽、胸闷,伴有超滤量减少。既往史:有高血压病史11年,最高血压不详,5年前开始予以氨氯地平片5mg qd,血压控制可。婚育史:适龄婚育,育有1子,爱人及儿子体健。体格检查:T 36.3℃,P 96次/分,BP 155/100mmHg,R 20次/分,双肺叩诊呈清音,左肺呼吸音清,右肺呼吸音低,未闻及明显湿啰音及哮鸣音,腹部平坦,腹部无压痛、反跳痛,肝脾未触及,双下肢无凹陷性水肿。
诊疗经过
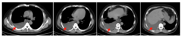
入院后完善相关实验室检查:生化检验报告:钾5.06mmol/L,钠129.8mmol/L,尿素氮22.06mmol/L,肌酐945.1umol/L,葡萄糖7.00mmol/L,肾小球滤过率7.1ml/min。血脂9项,肝功14项检验报告:高密度脂蛋白胆固醇1.13mmol/L,载脂蛋白A1 0.99g/L,总蛋白65.3g/l,白蛋白38.7g/L,谷丙转氨34U/L,谷草转氨酶38U/L。B型钠尿肽前体121.0ng/L,肌钙蛋白I <0.010ng/ml。血图分析1检验报告:血红蛋白116g/L,中性粒细胞68.6%,淋巴细胞百分比19.8%。糖化血红蛋白5.6%。尿液检查:尿蛋白(2+),尿隐血(2+),白细胞(-)。临检(粪便寄生虫检查,粪便检查2(常规+真菌),粪便隐血)检验报告:粪便隐血 弱阳性。胸部CT检查结果:右侧大量胸腔积液(图1)。
入院后予以胸腔穿刺抽液术,抽出淡黄色胸腔积液,胸水总蛋白3.4g/L,葡萄糖28.77mmol/L,LDH 29U/L,ADA 7.8U/L,胸水有核细胞53*10^6/L。腹水有核细胞24*10^6/L。腹腔注射亚甲蓝后引流出淡蓝色胸水,考虑胸腹瘘可能。遂于完善肝胆外科及胸外科会诊,后全身麻醉下行腹腔镜下膈肌修补术+腹腔探查术,取脐上3cm横行切口、脐上5cm处腹直肌左侧、剑突下3cm处、右侧肝肋缘下腋前线建立四个切口,术中探查右侧膈肌部位,肋膈角部边缘未见明显破孔,肝背侧缘的膈肌部位也未见明显破口,继续往肝脏顶缘膈肌探查时发现局部有细小裂纹,随呼吸局部有裂纹扩张,局部可见膈肌反常运动,考虑气腹后有轻微气胸发生,故局部考虑胸腹瘘发生,予以缝线沿裂纹部位间断及连续缝合,缝合后未见渗血及血肿形成,仔细探查其他右侧膈肌未见明显破口(图2)。
术后1-3天,予以半卧位APD治疗,单周期700-800ml,末次干腹;术后4-5天半卧位APD治疗,单周期1000ml,术后6-9天半卧位CAPD治疗,单周期1200ml,术后10-14天半卧位CAPD治疗,单周期1500ml(图3)。术后10天患者康复出院,继续居家行腹膜透析治疗,逐渐增加留腹量,规律随访未再出院胸腹瘘症状(图4)。




胸腹瘘是腹膜透析少见但严重的并发症之一,胸腹瘘发病时间从CAPD开始后1天到8年不等[1]。Edwards和Unger于1967年首次报道了PD相关性胸腹瘘,成人发生率1.6%~6%,女性多于男性,比例约为2:1[2]。日本一项针对161个中心的大型多中心研究中,3195例患者中有1.6%发生急性胸腔积水,其中88%发生在右侧[1]。胸腹瘘的形成不仅影响透析效果,还可能影响患者的呼吸循环功能,甚至危及生命。腹膜透析并发胸腹瘘的发病机制尚不完全明确,可能与膈肌先天性薄弱或存在解剖缺陷,腹膜透析过程中胸腹腔内压差较大,导致腹腔内液体通过膈肌薄弱处进入胸腔;长期腹膜透析导致膈肌慢性损伤,形成微小瘘口,随着时间推移,瘘口逐渐扩大;既往腹部手术史、腹腔感染等因素导致膈肌粘连、瘢痕形成,瘢痕处薄弱易发生瘘口[3]。
胸腹瘘大多数患者在腹膜透析期间通常会出现典型症状,如不同程度的呼吸困难及腹膜超滤量下降。胸腔积液中葡萄糖浓度明显高于血糖是初步诊断胸腹瘘的简便方法。胸腹瘘常用的诊断手段包括亚甲蓝试验、腹膜造影及核素显像。单光子发射计算机断层显像/计算机断层扫描(SPECT/CT)是确诊胸腹瘘的首选影像学检查,可实时观察放射性示踪剂的聚集情况,并对膈肌缺损进行精确定位[4]。近年来研究表明,吲哚菁绿联合近红外荧光成像在诊断包括胸腹瘘在内的腹膜透析相关并发症方面具有潜在临床价值[5]。
胸腹瘘的治疗主要分为非手术治疗和手术治疗;常见的非手术治疗包括:更改腹膜透析方式,主要采取小剂量间歇性腹膜透析;改为血液透析治疗;少部分可考虑胸膜腔化学粘连法。手术治疗包括开胸手术、开腹手术、胸腔镜手术和腹腔镜手术[6]。传统治疗依赖开胸或开腹手术,创伤大、恢复慢,且易增加感染风险,让本就虚弱的肾病患者面临更大挑战。目前,微创手术修复已成为主流治疗方式,但腹腔镜与胸腔镜的选择仍存有争议。1996年,首次报道了胸腔镜手术(VATS)用于胸腹瘘的治疗,在21例确诊病例中成功率达到89%。然而,VATS仍有28%的病例未能检测到膈肌瘘,这些病例的治疗有效率仅为38%[7]。值得注意的是,高达50%的胸腹瘘病例在VATS评估中未能检测到膈肌瘘,这凸显了提高诊断准确性的必要性。近期文献建议,VATS联合腹腔镜手术是胸腹瘘的首选手术方法,以提高检测效果和治疗效率。与文献报道不同,本中心是以腹腔镜下内部修补方式为主,国内外开展较少,大大减少了患者术中风险及术后并发症[8]。
与传统开腹手术相比,腹腔镜手术治疗腹膜透析并发胸腹瘘具有明显优势:①创伤小,切口小,术中出血量少,术后疼痛轻,恢复快;②腹腔镜视野清晰,可全面探查腹腔,准确找到瘘口位置,提高手术成功率;③操作精准,可对瘘口进行细致缝合或修补,减少组织损伤;④术后并发症少,切口感染、腹腔粘连等发生率低。与胸腔镜相比,腹腔镜下瘘口面积更大,更易被发现,而胸腔镜下瘘口长呈小孔状,不易被发现。腹腔镜对于胸腹瘘检出率更高,可以发现细小瘘口,以及特殊部位的瘘口(如膈肌边缘、左侧膈肌破口等)。本中心目前10例患者在腹腔镜下均发现膈肌穹隆有多条裂隙和瘘管,腹腔镜修复的成功率为100%。
综上所述,对于接受持续性腹膜透析患者,胸腹瘘的外科干预既安全又有临床益处。然而,除非手术中精确定位膈肌破损位置,否则复发率仍然很高。迄今为止,该疾病的管理尚无公认的统一标准,临床经验也较为有限。鉴于腹腔镜具有诊断准确性高且侵入性小的优势,该技术能够实现可视化胸腹瘘修补治疗,可作为安全、有效且微创的一线干预措施,便于精确修复并降低术后复发风险,可减少对透析方式转换的需求,并改善患者生活质量。
参考文献
[1] Nomoto Y, Suga T, Nakajima K, Sakai H, Osawa G, Ota K, et al. Acute hydrothorax in continuous ambulatory peritoneal dialysis--a collaborative study of 161 centers. Am J Nephrol, 1989,9(5):363-367.
[2] Edwards S R, Unger A M. Acute hydrothorax---a new complication of peritoneal dialysis. JAMA, 1967,199(11):853-855.
[3] Manabe T, Ono K, Oka S, Kawamura Y, Osaki T. A case of pleuroperitoneal communication in which establishing a laparoscopic pneumoperitoneum was useful for the detection of a fistula. Surg Case Rep, 2021,7(1):64.
[4] Rojas-Rojas M M, Camilo P, Gonzalo U, Bernal P. SPECT/CT in Pleuroperitoneal Fistula Associated With Peritoneal Dialysis. Clin Nucl Med, 2023,48(5):e219-e220.
[5] Zhang Y, Yan G, Han F, Yang L, Shu J, Liu L, et al. Application of indocyanine green and near-infrared fluorescence imaging for the assessment of peritoneal dialysis-related complications. Photodiagnosis Photodyn Ther, 2022,39:102881.
[6] Wang L, Liu J, Wang Y, Zhu L, Hu J. Minimally invasive surgery for pleuroperitoneal communication complicating peritoneal dialysis. Int Urol Nephrol, 2023,55(12):3189-3195.
[7] Di Bisceglie M, Paladini P, Voltolini L, Garosi G, Ghiribelli C, Di Paolo N, et al. Videothoracoscopic obliteration of pleuroperitoneal fistula in continuous peritoneal dialysis. Ann Thorac Surg, 1996,62(5):1509-1510.
[8] Hashimoto T, Osaki T, Oka S, Fujikawa T. Thoracoscopic and laparoscopic approach for pleuroperitoneal communication under peritoneal dialysis: a report of four cases. Surg Case Rep, 2023,9(1):55.






