一例iga肾病患者抗pla2r抗体阳性伴血栓微血管病的罕见病例
罗学群,李贵森,钟翔
四川省医学科学院•四川省人民医院(电子科技大学附属医院)
病例摘要:
患者,女,26岁,因“发现肝肾功能异常1年,下肢水肿3月”入院。2024年9月突发意识丧失、抽搐,当地医院查血压180/140mmHg,肝肾功能异常,治疗后好转,出院诊断自身免疫相关性脑病?肝功能不全、肾功能不全等,予以强的松等。9月26日于我院神内科,头颅MRI示右侧额叶小缺血灶可能,脑炎依据不足,停用强的松。9月27日因颜面浮肿,血压200/138mmHg,血肌酐198.3μmol/L,eGFR 29.6ml/min,白蛋白29.8g/L,尿蛋白2+,尿ACR 2164μg/mg,转入我科,10月8日肾活检示IgA肾病(局灶增生性病变伴急性肾小管损伤)。出院后予泼尼松30mg/d,因发热停用,期间反复感冒,曾短期使用耐赋康、泰它西普,未规律复诊。2025年7月出现下肢水肿、皮肤疱疹、破溃、乏力、咳嗽、尿少,未及时就诊。2025年10月14日因症状加重,血肌酐660.4μmol/L再次入院。既往史:甲减(优甲乐)、特应性皮炎(度普利尤单抗)。体格检查:T 36.5℃,P 97次/分,R 20次/分,BP 149/87mmHg。颜面浮肿,全身暗褐色皮疹伴脱屑,双肺细湿啰音,上腹轻压痛,双下肢水肿(左侧著),左足及踝周多发水疱、血疱,后背及双上肢散在水疱。
辅助检查:
实验室检查:血常规:Hb 72g/L ↓,PLT 73×10⁹/L ↓,WBC、NEUT正常。肝肾功能:尿素 31.45 mmol/L ↑,肌酐 671.5 μmol/L ↑,尿酸 506 μmol/L ↑,钾 5.48 mmol/L ↑,磷 3.50 mmol/L ↑,白蛋白 29.2 g/L ↓,LDH 394 U/L ↑,AST、ALT正常。输血全套未见异常。凝血功能:FIB 1.51 g/L ↓,D-二聚体 1.30 mg/L ↑,PT正常。心肌损伤指标:hs-cTnT 40.00 ng/L ↑,BNP 1376 pg/mL ↑。红细胞形态:裂片红细胞比率2.8% ↑,红细胞形态大小不等,可见红细胞碎片、靶形、泪滴形、椭圆形红细胞。免疫学检查:抗心磷脂抗体IgA ↑;抗β2GPI IgM/IgA ↑;(2024-09)抗PLA2R-IgG 89.3RU/mL ↑,(2025-10-17)抗PLA2R-IgG 210.58RU/mL ↑;体液免疫游离轻链λ、κ↑,k/λ比值正常;天疱疮相关抗体Dsg1、Dsg3、BP180抗体均↑;ANA阳性(1:100);(2024.10.12)补体C3 0.348 g/L ↓后复查均正常、C4正常;细胞免疫:CD4+淋巴细胞 256/uL ↓, B淋巴细胞12/uL ↓;免疫固定电泳、血清蛋白电泳、自免肝抗体、ANCA、抗GBM抗体、抗dsDNA抗体、抗CCP抗体、狼疮抗凝物均未见明显异常。ADAMTS13:活性正常,抑制性抗体阴性。甲状腺功能:TSH 14.10 mIU/L ↑,FT3、FT4正常,甲状腺抗体阴性。甲状旁腺激素:PTH 139.0 pg/mL↑。贫血相关代谢产物:铁蛋白747.25 ng/mL↑,叶酸2.6 ng/mL ↓,转铁蛋白饱和度62.8% ↑,血清总铁结合力32 umol/L ↓,不饱和铁结合力11.6 umol/L ↓。心电图检查无明显异常。泌尿系超声检查:双肾实质回声增强,皮髓质分界不清,集合系统不分离。CDFI提示双肾血流灌注差。心脏超声:左房增大;主动脉瓣轻度关闭不全。二尖瓣轻度关闭不全。三尖瓣轻-中度关闭不全。肺动脉主干增宽,肺动脉压增高。下腔静脉塌陷率降低(提示:右房压增高)。少量心包积液。胸腹水超声:提示双侧胸腔积液,腹腔、盆腔积液。胸部CT(与2024-11-25旧片对比):1、双肺散在多发磨玻璃样结节、片结影,较前新增,感染性病变可能,请结合临床。2.双肺散在多个实性结节,部分炎性可能,较前新增,随诊。3.右侧胸腔中量积液,较前增多;左侧胸腔少量积液,较前减少,右肺下叶部分实变、不张。4.纵隔淋巴结稍多。5.迷走右锁骨下动脉。肺动脉干稍增粗。心包少量积液。心腔密度稍减低,贫血?请结合临床。6.胸壁软组织肿胀。扫及左乳钙化。
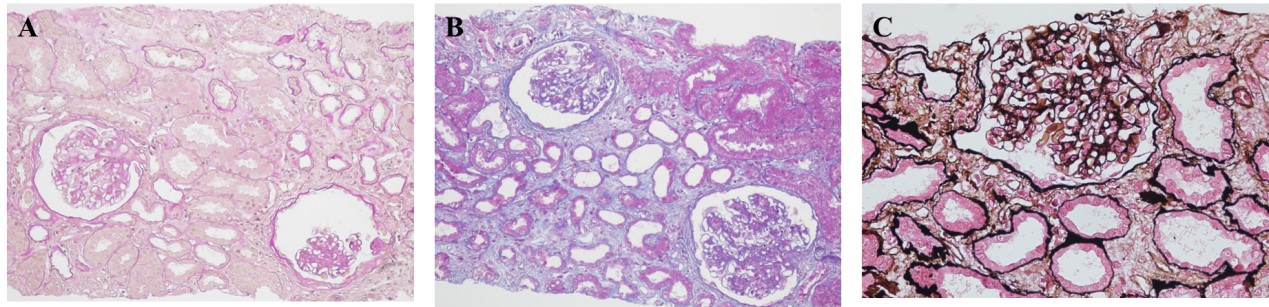
肾组织活检:(1)光镜检查(图1)镜下见2条皮髓肾穿组织常规染色切片可见6个肾小球,正切大小基本正常,部分小球球内细胞数增多,小球系膜细胞和基质轻度增生伴局灶节段性中一重度增生多数系膜区可见2~4个系膜细胞,节段系膜区增宽,基底膜未见明显病变,部分手细血管腔狭窄,节段毛细血管内细胞增多,节段系膜区可见嗜复红蛋白沉积可见1个小球伴球囊粘连。肾小管上皮细胞空泡及颗粒变性,灶状肾小管上皮细胞扁平、刷毛缘脱落伴管腔扩张,局灶性肾小管萎缩及间质纤维化(约10%),可见红细胞管型形成,肾间质局灶性水肿,局灶性淋巴、单核细胞及少量浆细胞浸润(约5~10%),部分小动脉管壁增厚,少数可见玻璃样变性。(2)免疫荧光检查(图2)镜下见1个肾小球,IgG-、IgM+、IgA+~++、C3++、C1q-、FRA-、A1b-、κ±、λ+、PLA2R-,系膜区块状沉积。(3)电镜检查(图3)镜下见1个肾小球。系膜区:节段性轻~中度增宽,系膜基质增多,系膜区、系膜旁区可见少量块状电子致密物沉积;毛细血管腔:节段性狭窄,少量内皮细胞空泡变性;基底膜:部分增厚,节段内皮下可见少量电子致密物沉积。足细胞:足突大部分融合,肾小管及间质:部分肾小管上皮细胞微绒毛脱落,肾间质少量胶原纤维增生,少量淋巴细胞、单核细胞浸润。
图 1 肾活检光镜检查。A HEx200;B PASx200;C PASMx200
图 2 肾活检免疫荧光检查。
图 3 肾活检电镜检查(x2000)
诊断及鉴别诊断
诊断:1、IgA肾病(抗PLA2R抗体阳性) 慢性肾功能不全急性加重;2、血栓微血管病 非典型溶血性尿毒综合征;3、急性心力衰竭失代偿;4、代谢性脑病 癞痫样发作;5、皮肤感染 天疱疮;6、高血压3级 极高危;7、多浆膜腔积液(胸腔积液、腹腔积液盆腔积液心包积液);8、肺部感染;9、高尿酸血症。
鉴别诊断:1、膜性肾病:患者肾功能损害、蛋白尿,血清抗PLA2R抗体阳性,但肾组织病理不支持。2、感染相关性肾炎:患者肾功能损害合并感染,虽然补体有一过性下降,但肾脏病理不支持。3、TTP:该患者肾功能进行性下降,贫血和PLT下降,LDH升高,查见破碎红细胞,但ADAMTS13活性正常(112.38%),抑制物阴性,排除TTP。
治疗及转归
入院后予以激素40mg qd,3周后泼尼松片25mg qd维持,同时联合吗替麦考酚酯0.5g q12h;血液透析、血液透析滤过;哌拉西林他唑巴坦联合万古霉素抗感染;降压、调脂、降尿酸等对症支持治疗。患者慢性肾功能不全急性加重,贫血,血小板降低,LDH进行性升高,外周血涂片见破碎红细胞,诊断血栓微血管病明确,由于ADAMTS13 活性112.38%,抑制性抗体阴性,结合病史,故考虑非典型溶血性尿毒症综合征(aHUS)。于10-29、11-05、11-08分别静脉输注依库珠单抗600mg治疗。治疗后患者肌酐水平有所下降,LDH下降,Hb和PLT逐渐改善,继续分别于11-15、11-22静脉输注依库珠单抗900mg(图4,5和6)。
图 4 该患者肌酐、乳酸脱氢酶、肾小球滤过率的变化情况。
图 5 该患者血红蛋白及血小板的变化情况。
图 6该患者的抗PLA2R抗体的变化情况。
讨论
本文报告了一例IgA肾病,其特殊之处在于病理特征表现为IgA肾病,但血清抗PLA2R抗体为阳性且病程中合并血栓微血管病。患者为青年女性,病程长但起病急骤,首发表现为神经系统症状,早期即发现肾功能损害,因诊治欠规范、未规律随访,病情进展迅速,肾功能快速恶化,合并症多,包括特应性皮疹、皮肤天疱疮及感染、血栓微血管病,多系统受累使诊断和治疗尤为复杂。在急危重症背景下,如何快速识别和判断病因、精准把握免疫抑制剂治疗时机和强度,是该病例带给临床的关键挑战。本文结合文献复习,探讨该罕见病例的可能机制和诊疗策略。
在诊断上,该患者需要鉴别是IgAN、MN或IgA肾病合并膜性肾病(cIgAN/MN)。原发性膜性肾病与IgAN虽然均为免疫复合物介导的肾小球疾病,但由于两者发病机制不同,共同发生于同一患者并不多见。IgAN的特点是在肾小球中沉积IgA免疫复合物,导致炎症和损伤 ADDIN EN.CITE ADDIN EN.CITE.DATA 1。而MN是由针对肾小球固有抗原的免疫复合物形成所致,导致肾小球基底膜(GBM)增厚、肾功能受损,其病理特征表现为免疫球蛋白G(原发性膜性肾病主要是IgG4)、磷脂酶A2受体(PLA2R)或其他新型多抗原免疫复合物(如FCN3、CD206、EEA1等)的染色阳性 ADDIN EN.CITE ADDIN EN.CITE.DATA 2,3。cIgAN/MN指同一患者肾活检病理中同时存在IgAN和MN两种原发性肾小球疾病的病理改变。来自北京大学第一医院迄今最大样本量(137例)的cIgAN/MN研究,与IgAN相比,cIgAN/MN在临床病理特征、疾病特异性生物标志物水平和疾病特异性遗传风险等方面更倾向于与MN相似 ADDIN EN.CITE ADDIN EN.CITE.DATA 4。结合我们的病例进行分析,该患者肾小球内存在系膜IgA沉积但是没有上皮下IgG沉积,组织学抗PLA2R阴性,不符合MN的诊断,因此我们将该例患者确定为特殊的血清抗PLA2R抗体阳性的IgA肾病患者。
是否抗PLA2R抗体阳性会影响IgA肾病患者的预后?PLA2R属于I型跨膜受体,在正常肾小球中分布于足细胞上 5,6。PLA2R在正常大鼠肾小球中表达较低,在系膜增生性肾小球肾炎实验模型中表达上调7,并在2009年的研究中,将M型PLA2R作为MN的主要靶点8。抗PLA2R抗体的产生机制主要是遗传易感背景下,环境因素诱发氧化应激导致PLA2R蛋白构象改变,暴露新抗原表位,启动免疫应答产生大量抗体。抗体与足细胞PLA2R结合后,通过网格蛋白介导的内吞作用被摄入细胞内并运送至溶酶体降解。而降解产生的PLA2R肽段反而增强了抗原呈递,促进CD4⁺T细胞活化,进而刺激B细胞产生更多抗体,形成恶性循环9,10。研究发现对抗PLA2R抗体的定性评估表明在免疫抑制治疗结束时,抗体的消失先于缓解的开始,且抗PLA2R抗体的持续存在往往预示着不利的结果11,12。同时,在抗PLA2R抗体水平降低后,蛋白尿也减少了13。因此,目前一致性认为抗PLA2R抗体滴度变化与MN患者临床、治疗反应以及预后密切相关。然而,抗PLA2R抗体阳性是否也会影响IgA肾病患者的预后?目前尚缺乏大型临床长期预后证据。
值得注意的是,该患者有贫血(Hb72g/L)、血小板减少(73x10⁹/L)、多次查见裂红细胞、LDH升高以及急性肾衰竭的表现,符合血栓微血管病的诊断。由于ADAMTS13活性112.38%,抑制性抗体阴性,提示该患者可能是非典型溶血性尿毒血症(aHUS)。aHUS形成机制主要是在遗传易感的基础上,由触发因素诱发,导致补体替代途径失控激活,最终引起血管内皮损伤和多器官血栓形成14。在后续的治疗中需要考虑补体C5抑制剂(如依库珠单抗)治疗15。依库珠单抗通过抑制补体激活,不仅可以改善aHUS相关的溶血、肾功能损伤,还间接纠正全身过度活化的免疫状态,减少了自身抗体(包括抗PLA2R抗体)的异常产生,辅助抗体滴度下降16。遗憾的是这个患者因经济等原因并没有完善补体相关因子的检查。但治疗上,我们根据病情积极使用依库珠单抗治疗,患者贫血、PLT减少得到明显改善。
该患者有长期的特应性皮炎,有研究发现在炎症性皮肤病需要警惕是否伴有脏器损害,比如银屑病患者的肾功能损害17,这引发了我们的思考:患者的皮炎与本次天疱疮及皮肤感染和IgAN是否存在联系?通过查阅文献,有研究揭示在特应性皮炎患者体内,参与IgA1分子糖基化的两个关键酶:GALNT12和C1GALT1C1的表达水平显著低于健康人,该酶可直接导致半乳糖缺陷的IgA1(Gd-IgA1)生成增加,而Gd-IgA1正是触发IgA肾病免疫复合物沉积、导致肾脏损伤的核心“元凶”18,19。因此特应性皮炎可能会增加IgAN的风险。本病例中,该患者长期的特异性皮炎可能诱导了Gd-IgA1产生,进而诱发了IgAN。
该患者临床表现急危重,治疗是本病例的又一难点。在方案上,我们确定了以中等量激素联合吗替麦考酚酯积极治疗IgA肾病,同时针对该例患者的并发症(如急性肾衰、高血压、皮肤感染、高尿酸等)进行血液透析、降压、抗感染和降尿酸等对症治疗。最重要的是,考虑到患者aHUS且有多系统受累包括神经系统、肾脏损害、血液系统等,我们给予了血浆置换和依库珠单抗治疗,治疗后患者的肾功能、贫血、血小板等指标好转,总体病情得到了及时的控制。
综上所述,本文报告一例罕见的血清抗PLA2R抗体阳性但肾活检确诊为IgAN的病例,为未来临床研究提供了宝贵的临床资料,也为该类不典型肾小球疾病的诊疗提供了重要启示。首先,在诊断策略上,应坚持病理学金标准,避免仅凭血清学阳性草率诊断为IgA肾病与膜性肾病的合并症。该病例提示,对于治疗策略及预后差异显著的原发性肾小球疾病,尤其当血清学与病理学结果不一致时,肾穿刺活检仍是鉴别诊断不可或缺的依据。其次,在临床管理上,应重视潜在相关病史的挖掘。此外,本例患者合并特应性皮炎,提示积极控制基础皮肤病可能对延缓IgA肾病的发生与进展具有潜在价值。
【参考文献】
1 Zhao, J., Ma, F., Bai, M. & Sun, S. Low-Dose Corticosteroid Combined With Mycophenolate Mofetil for IgA Nephropathy With Stage 3 or 4 CKD: A Retrospective Cohort Study. Clin Ther 43, 859-870, doi:10.1016/j.clinthera.2021.03.009 (2021).
2 Caza, T. N. et al. Discovery of seven novel putative antigens in membranous nephropathy and membranous lupus nephritis identified by mass spectrometry. Kidney Int 103, 593-606, doi:10.1016/j.kint.2023.01.001 (2023).
3 Dantas, M. et al. Membranous nephropathy. J Bras Nefrol 45, 229-243, doi:10.1590/2175-8239-JBN-2023-0046en (2023).
4 He, J. W. et al. Concurrent IgA Nephropathy and Membranous Nephropathy, Is It an Overlap Syndrome? Front Immunol 13, 846323, doi:10.3389/fimmu.2022.846323 (2022).
5 East, L. & Isacke, C. M. The mannose receptor family. Biochim Biophys Acta 1572, 364-386, doi:10.1016/s0304-4165(02)00319-7 (2002).
6 Lambeau, G. & Lazdunski, M. Receptors for a growing family of secreted phospholipases A2. Trends Pharmacol Sci 20, 162-170, doi:10.1016/s0165-6147(99)01300-0 (1999).
7 Beck, S. et al. Upregulation of group IB secreted phospholipase A(2) and its M-type receptor in rat ANTI-THY-1 glomerulonephritis. Kidney Int 70, 1251-1260, doi:10.1038/sj.ki.5001664 (2006).
8 Beck, L. H., Jr. et al. M-type phospholipase A2 receptor as target antigen in idiopathic membranous nephropathy. N Engl J Med 361, 11-21, doi:10.1056/NEJMoa0810457 (2009).
9 Sethi, S. & Fervenza, F. C. Antigens in membranous nephropathy: discovery and clinical implications. Nat Rev Nephrol 21, 653-670, doi:10.1038/s41581-025-00980-z (2025).
10 Liu, Y. et al. Antibody-induced internalization and degradation of PLA2R amplifies CD4(+) T cell activation. Theranostics 16, 37-57, doi:10.7150/thno.123035 (2026).
11 Beck, L. H., Jr. et al. Rituximab-induced depletion of anti-PLA2R autoantibodies predicts response in membranous nephropathy. J Am Soc Nephrol 22, 1543-1550, doi:10.1681/asn.2010111125 (2011).
12 Dahan, K. et al. Rituximab for Severe Membranous Nephropathy: A 6-Month Trial with Extended Follow-Up. J Am Soc Nephrol 28, 348-358, doi:10.1681/asn.2016040449 (2017).
13 Ruggenenti, P. et al. Anti-Phospholipase A2 Receptor Antibody Titer Predicts Post-Rituximab Outcome of Membranous Nephropathy. J Am Soc Nephrol 26, 2545-2558, doi:10.1681/asn.2014070640 (2015).
14 Bogdan, R. G. et al. Atypical Hemolytic Uremic Syndrome: A Review of Complement Dysregulation, Genetic Susceptibility and Multiorgan Involvement. J Clin Med 14, doi:10.3390/jcm14072527 (2025).
15 [Multidisciplinary consensus on the diagnosis and treatment of atypical hemolytic uremic syndrome (2025 version)]. Zhonghua Nei Ke Za Zhi 64, 396-411, doi:10.3760/cma.j.cn112138-20250219-00095 (2025).
16 Cofiell, R. et al. Eculizumab reduces complement activation, inflammation, endothelial damage, thrombosis, and renal injury markers in aHUS. Blood 125, 3253-3262, doi:10.1182/blood-2014-09-600411 (2015).
17 Grandinetti, V. et al. Renal dysfunction in psoriatic patients. G Ital Nefrol 37 (2020).
18 Cao, W. & Xiong, J. Causal associations and potential mechanisms between inflammatory skin diseases and IgA nephropathy: a bi-directional Mendelian randomization study. Front Genet 15, 1402302, doi:10.3389/fgene.2024.1402302 (2024).
19 Li, C., Wang, B., Han, T., Xu, Y. & Li, X. Causal relationship between inflammatory skin diseases and immunoglobulin A nephropathy: A Mendelian randomization and enrichment analysis study. Skin Res Technol 30, e13915, doi:10.1111/srt.13915 (2024).












